【小児矯正】6歳から始めた受け口(反対咬合)の症例紹介(経過観察中)
うちの子の「受け口」どうしたらいいの?6歳女の子の矯正体験談
「うちの子、下の歯が前に出ている気がする…」
「受け口放っておいて大丈夫?」
こんな不安をお持ちの親御さんはいませんか?
実はその「受け口」、あごの成長や歯並びに大きな影響を与えてしまうことがあるんです。
今回は、実際に当院にご相談いただいた6歳女の子の矯正治療の様子(治療途中)をご紹介します。
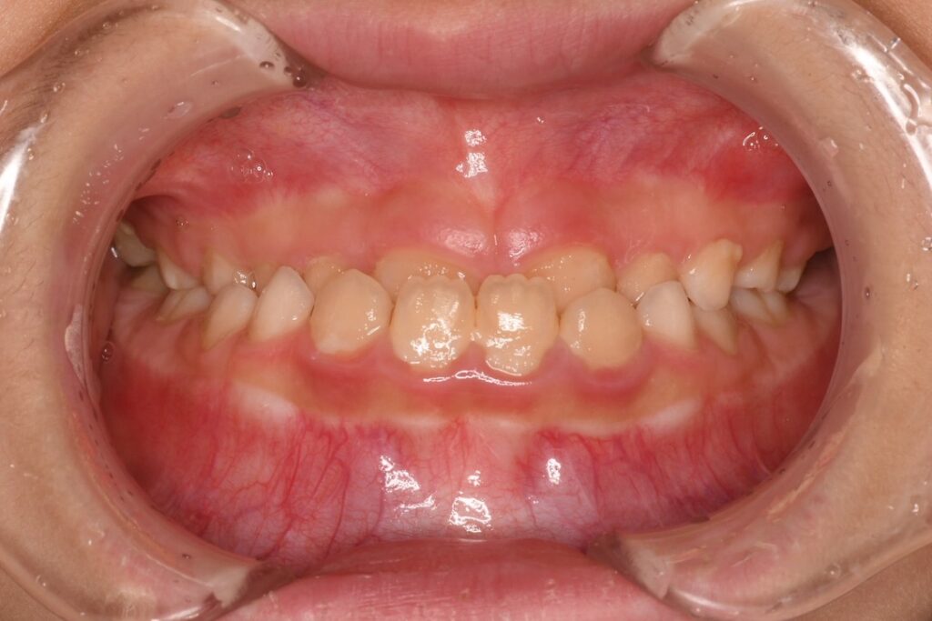
治療前の状態
初めて来院されたとき、この女の子は下の前歯が上の前歯より前に出ていました。


これは典型的な「受け口(反対咬合)」という状態で、そのままにしておくと あごが正しく成長できない可能性 があります。

親御さんも「将来ちゃんと治せるのかな…」と心配されていました。
どんな治療をしたの?
今回使用したのは 急速拡大装置 という器具です。

これは、上あごを少しずつ広げて、歯がきれいに並ぶためのスペースをつくる装置です。
「まだ小さい子に装置を入れるのは大丈夫?」と思われるかもしれませんが、実は 小児期の早い段階だからこそ効果的 なのです。
6歳のこの女の子も、初診から約1ヶ月で装置をつけて治療をスタートしました。
経過の様子

早めの一歩が未来を変える✨
「受け口」は成長とともに自然に治ることもありますが、放置により状態が悪化することがあります。ただし個人差があります。
早めに対処することで、あごの成長を正しい方向に導き、外科矯正や抜歯矯正などの将来の大がかりな矯正治療を防ぐこともできるんです。
当院では、初めての方でも安心していただけるように、 無料の矯正相談会 を行っています。
まとめ
- 受け口は放置するとあごの成長に影響する可能性がある
- 急速拡大装置で早めに対処すると改善しやすい
- 小児期の矯正、特に受け口の治療は「早いほど安心」
「うちの子、もしかして受け口かも?」と少しでも思ったら、ぜひお気軽にご相談ください😊
症例情報(自由診療)
| 患者さんのお悩み | 受け口を治したい |
| 治療内容 | 急速拡大装置による上顎拡大 |
| 治療期間 | 約6ヶ月(装置使用期間)※現在は経過観察中 |
| 通院頻度 | 月に1回程度 |
| 費用 | 418,000円(税込) |
| リスク・副作用 | 一時的に嚥下しにい、違和感、発音しにくくなることがある |
| その他 | 本症例は一例であり、効果・期間には個人差があります。 |
垂水さだまさ歯科・矯正歯科 院長
定政 克典
- インビザラインドクター
- 顎咬合学会(咬み合わせ認定医)
- 国際口腔インプラント学会(ICOI認定医)





